Edificio del área de cancer

Radioterapia

La radioterapia es clave en el tratamiento del cáncer, usada en hasta el 70% de los casos en centros avanzados como el Centro de Cáncer. Su objetivo es controlar la enfermedad a nivel local o regional.

Nuestros radio-oncólogos integran esquemas avanzados y sofisticados de radioterapia para el manejo multidisciplinario del cáncer. Diseñan e individualizan tratamientos para un amplio rango de tipos y tamaños de tumores, tanto primarios como metastásicos. Se realizan tratamientos altamente personalizados en adultos y niños.

Dependiendo del diagnóstico, se selecciona el tipo de radioterapia más adecuado: curativa para tumores en etapas tempranas, neoadyuvante para reducir el tamaño del tumor antes de la cirugía, adyuvante para evitar recurrencias post-cirugía, y paliativa para aliviar síntomas en casos metastásicos avanzados.

¿Porqué elegir el Centro de Cáncer?

  • Equipos de vanguardia: contamos con aparatos de última generación y sistemas de aseguramiento para alcanzar los mayores estándares de calidad y seguridad en todas las modalidades de tratamiento.
  • Personal altamente capacitado: nuestro equipo humano cuenta con amplia experiencia en radio-oncólogos, radio-neurocirujanos, físicos médicos, dosimetristas, técnicos radioterapeutas, personal de enfermería, auxiliares de enfermería y administrativos.
  • Tecnología pionera: hemos sido los primeros en México en utilizar técnicas especializadas con intensidad modulada y braquiterapia de alta tasa con tecnología 3D.
  • Asesoría internacional: desde el inicio de su operación, la Unidad de Radioterapia cuenta con la asesoría estrecha del Hospital Metodista de Houston para generar un intercambio de conocimiento entre ambas instituciones.
  • Enseñanza formativa: estamos comprometidos con la capacitación de médicos radio-oncólogos, físicos médicos y técnicos radioterapeutas del país.

Conoce nuestra unidad de Radioterapia

Certificación ISRS Radiocirugía

El Centro Médico Saludora ha recibido la certificación de la International Society for Stereotactic Radiosurgery (ISRS), un reconocimiento que resalta nuestro compromiso con la excelencia en el tratamiento de pacientes mediante radiocirugía estereotáctica intracraneal (SRS). Esta certificación nos coloca como el único hospital en México y uno de los cuatro centros de salud en América Latina especializados en el uso de estas tecnologías avanzadas, mediante aceleradores lineales de electrones (8 NOVALIS TX), que ofrecen una precisión submilimétrica, similar al Gamma Knife con la ventaja de realizar una sesión de tratamiento más rápida (aproximadamente 60-90 minutos, en lugar de las 2-3 horas requeridas por otros dispositivos).

ISRS Accreditation

Contamos con más de 10 años de experiencia en el uso de estas tecnologías, brindando tratamientos altamente precisos para tumores cerebrales, patologías benignas y patologías funcionales. Con esta certificación, nuestros pacientes pueden confiar en que recibirán atención médica de la más alta calidad, respaldada por un equipo multidisciplinario compuesto por radio-oncólogos, neurocirujanos acreditados para radiocirugía, oncólogos médicos, físicos médicos, entre otros profesionales altamente capacitados.

ISRS Accreditation Radiosurgery

Además, todos los casos tratados son revisados mediante un proceso de revisión por pares (peer review), esto permite que las indicaciones clínicas y planificaciones sean evaluadas en un tumor board antes de iniciar el tratamiento. Utilizamos imágenes de resonancia magnética de alta calidad para asegurar que cada detalle sea considerado en el plan de tratamiento, lo que respalda nuestra precisión y cuidado.

La certificación valida que el Centro Médico Saludora cumple con los más estrictos estándares internacionales en cuanto a seguridad, tecnología y precisión en los procedimientos de radiocirugía, con rigurosos controles de calidad aplicados antes, durante y después del tratamiento. Porque los milímetros sí importan, garantizamos que nuestros pacientes reciban el mejor cuidado posible.

¿Qué es Radiocirugía Estereotáctica (SRS) y Radioterapia Corporal Estereotáctica (SBRT)?

La Radiocirugía Estereotáctica (SRS) es un tratamiento avanzado y preciso utilizado para tratar lesiones intracraneales, realizado por un equipo multidisciplinario que incluye un radio-oncólogo y un neurocirujano acreditado en radiocirugía. Esta técnica permite aplicar radiación de alta precisión directamente sobre el tumor en el cerebro, minimizando el impacto en los tejidos sanos circundantes.

Stereotactic Radiosurgery (SRS)

Por otro lado, la Radioterapia Corporal Estereotáctica (SBRT) se utiliza para tratar lesiones extracraneales, como en los pulmones, hígado, columna vertebral, entre otros. Al igual que la SRS, SBRT se realiza con gran exactitud, entregando altas dosis de radiación directamente al tumor, mientras se minimiza el daño a los tejidos sanos circundantes. Este tratamiento es llevado a cabo por un radio-oncólogo y ofrece una opción eficaz y no invasiva para tratar tumores en diversas áreas del cuerpo.

Stereotactic Body Radiation Therapy (SBRT)

Ambos tratamientos, SRS y SBRT, son opciones no invasivas que permiten una recuperación más rápida, lo que hace que los pacientes puedan retomar sus actividades cotidianas con mayor rapidez, mientras se brinda una opción eficaz para tratar ciertos tipos de tumores. En nuestro Centro de Cáncer, contamos con tecnología de vanguardia para llevar a cabo estos procedimientos con la mayor precisión y seguridad.

Casos tratados en el Centro Médico Saludora (2015-2024)

En el Centro Médico Saludora, desde 2015 hemos brindado atención especializada, tratando miles de casos con un enfoque integral y obteniendo resultados positivos para nuestros pacientes. Nuestro compromiso con la innovación, el cuidado personalizado y la mejora continua garantiza que cada paciente tenga acceso a los tratamientos más avanzados y efectivos.

Casos tratados por región anatómica
Radiocirugía y casos tratados

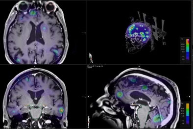
¿Qué patologías se pueden tratar con Radiocirugía intracraneal (SRS)?

Metástasis Cerebrales (MTX SNC): Las metástasis cerebrales son tumores que se originan en otro órgano, como el pulmón, mama o próstata, y se propagan al cerebro. La radiocirugía permite tratarlas con precisión, ayudando a reducir su tamaño o detener su crecimiento sin necesidad de cirugía invasiva.

Patologías Benignas del Sistema Nervioso Central:

  • Meningioma: Tumor que se forma en las membranas que recubren el cerebro y la médula espinal.
  • Schwannoma: Tumor que crece en los nervios.
  • Adenoma Hipofisario: Tumor de la glándula pituitaria en el cerebro.
  • Cavernoma: Lesión en los vasos sanguíneos del cerebro.
  • Paraganglioma: Tumor raro que se desarrolla en las glándulas adrenales y otros órganos.

Malformación Arteriovenosa (MAV): Las MAV son un conjunto anormal de vasos sanguíneos que pueden causar hemorragias cerebrales. La radiocirugía se usa para tratar estas malformaciones sin necesidad de cirugía abierta.

Patologías Funcionales

  • Neuralgia del trigémino: Dolor facial intenso debido a un problema en el nervio trigémino.
  • Epilepsia: Trastorno en el cual las personas tienen convulsiones recurrentes.
  • Dolor resistente: Dolor crónico que no responde a otros tratamientos.

Metástasis Óseas (MTX Ósea – Columna Vertebral): Cuando los tumores de otros órganos se diseminan a la columna vertebral, la radiocirugía puede ayudar a tratar estas metástasis de manera precisa y efectiva.

Pathologies can be treated with intracranial radiosurgery (SRS)

Casos Tratados con Radiocirugía por Año (2012-2022)

La tabla muestra los números de casos que hemos tratado con radiocirugía en el Centro de Cáncer, organizados por tipo de patología y año. Esto nos permite observar cómo ha evolucionado el tratamiento de estas condiciones a lo largo del tiempo, y también cómo hemos podido ayudar a pacientes con diversas enfermedades cerebrales y de la columna vertebral, utilizando tecnologías de última generación.

Casos Tratados con Radiocirugía por Año (2012-2022)
Evolución anual de casos tratados por tipo de patología

Nuestra Unidad de Radioterapia se destaca por estar a la vanguardia y ofrecer a nuestros pacientes los beneficios de los últimos avances en la tecnología

Contamos con el primer equipo en Latinoamérica de Posicionamiento Óptico Guiado en Superficie o SGRT (Surface Guided Radiation Therapy). SGRT utiliza un sistema avanzado de visualización de la superficie externa del paciente que permite el monitoreo en tiempo real de los movimientos del paciente, asegurando que el haz de radiación solo se dispare en el posicionamiento correcto.

También contamos con el único equipo de acelerador lineal que durante los tratamientos de radiocirugía cuenta con un sistema de verificación guiada por imagen, radioterapia guiada por imagen o IGRT (por sus siglas en inglés Image-Guided Radiotherapy). Las imágenes que brinda en 4D determinan con exactitud el tamaño y la forma del tumor, así como su posición en tiempo real para que se administre la dosis de radiación con precisión submilimétrica, protegiendo en forma significativa a los órganos sanos. Permite tratar los tumores que requieren una excepcional precisión, como lesiones pulmonares, ya que monitorea el ciclo respiratorio, sincronizando la radiación al movimiento del tumor.

Estamos adoptando el nuevo concepto de la Radioterapia Adaptativa, en la cual la dosis de radiación se reajusta conforme se reduce el tamaño del tumor durante el tratamiento reduciendo aún más el riesgo de efectos secundarios, y un paso más en la alta precisión en Radioterapia.

Mujer entrando a radioterapia

¿Qué es la radioterapia?

La radioterapia utiliza la radiación ionizante con la intención terapéutica de destruir las células cancerosas. La radiación puede ser externa o interna. La radioterapia externa es la forma más común, utilizamos equipos llamados aceleradores lineales y es un tratamiento ambulatorio llevado a cabo en nuestro espacio de la Unidad de Radioterapia. No es invasivo, no duele, no se cae el cabello y permite continuar con las actividades diarias después de cada sesión, sin temor de emitir radiactividad.

Diseñamos tu tratamiento a través de la simulación y planeación

Previo a la primera sesión acudes a una cita para diseñar e individualizar tu tratamiento a través de la simulación y planeación. El objetivo de la simulación es determinar en un equipo de tomografía (TAC simulador) que será lo óptimo para las sesiones de tu curso terapéutico. En esta primera sesión podemos obtener imágenes de tomografía computada que proporcionan información detallada de la localización, el volumen, estructuras que rodean al tumor, etc. Todos estos datos se envían vía red al planificador de tratamiento cuyo software o programa de planeación reconstruye un modelo computacional de tu lesión o lesiones. Sobre este modelo virtual los físicos médicos y dosimetristas delimitan los volúmenes blancos y los órganos de riesgo (tejidos sanos circundantes), calculan las dosis precisas y las direcciones de los haces de radiación que se apuntarán al tumor, y junto con tu radio-oncólogo, definen el plan de tratamiento específico que será enviado al acelerador lineal sin capacidad de modificaciones y con control detallado.

Duración de las sesiones

Las sesiones duran aproximadamente 30 minutos y los tiempos de disparo son de uno a dos minutos. Tu radio-oncólogo te hará saber el número de sesiones requeridas para lograr el objetivo deseado de tu tratamiento.

Al terminar tu tratamiento

La atención del paciente en radioterapia no termina con la última sesión, cuando se ha recibido la dosis completa, sino que se continúa con consultas periódicas durante las cuales se detectan tempranamente y tratan los posibles efectos secundarios, que tienen una ventana de entre cuatro y seis semanas. Después entra el seguimiento de evaluación de respuesta. Los tiempos esperados de respuesta varían según el tipo de cáncer, entre dos a seis meses.

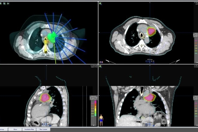
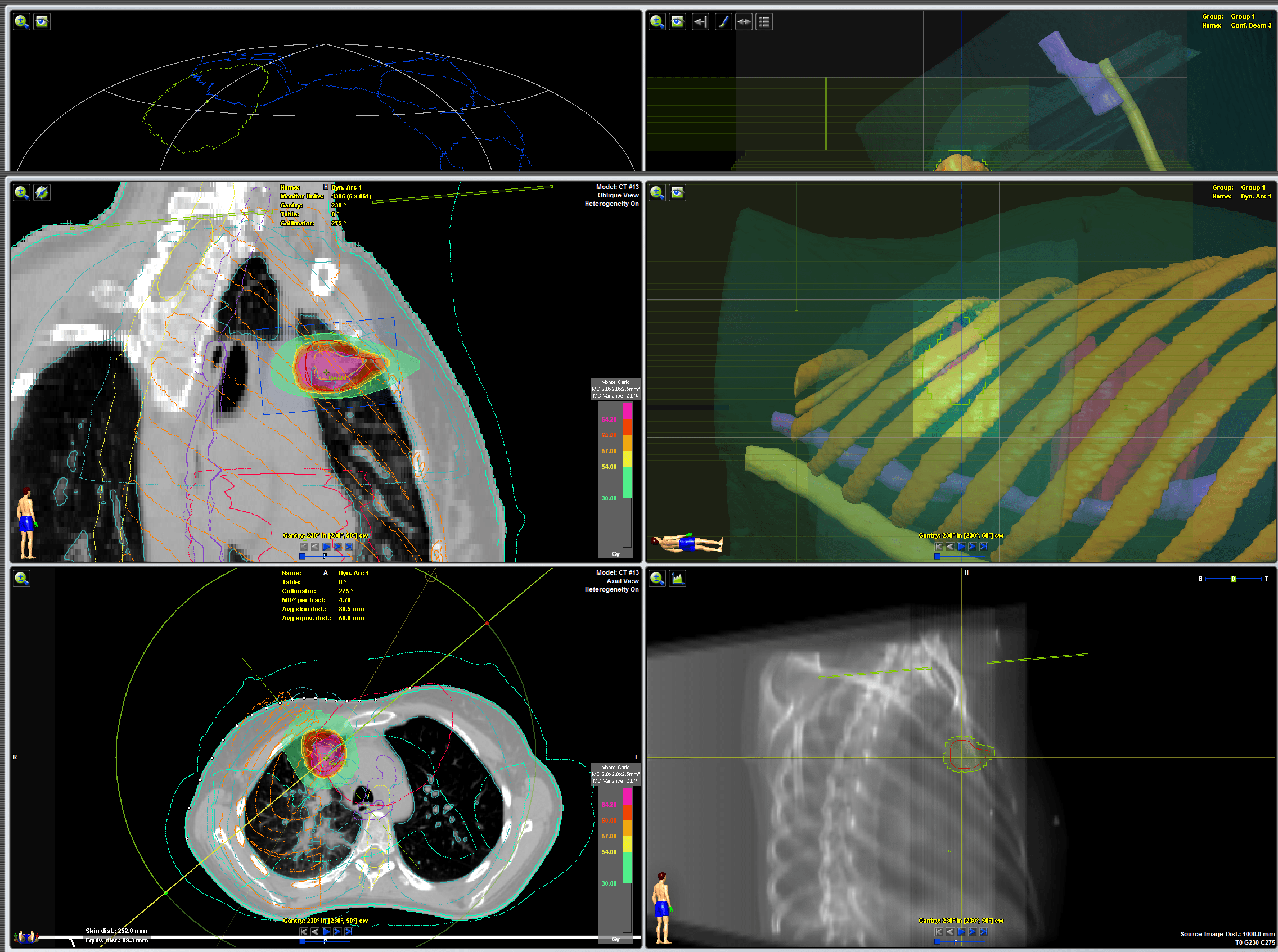
Planeación virtual de tumor en pulmón

Planeación virtual de tumor en pulmón. Físicos médicos y dosimetristas han delimitado los volúmenes blancos y los órganos de riesgo (tejidos sanos circundantes) y calculado la distribución de dosis precisas.

radiografia de tumor en el higado.

Planeación virtual de tumor en el hígado. Físicos médicos y dosimetristas han delimitado los volúmenes blancos y los órganos de riesgo (tejidos sanos circundantes) y calculado la distribución de dosis precisas, así como, las direcciones de los haces de radiación que se apuntarán al tumor.

¿Qué es la radioterapia?

La radioterapia utiliza la radiación ionizante no con intención diagnóstica sino a altas dosis con la intención terapéutica de destruir las células cancerosas. La radiación puede ser externa o interna. La radioterapia externa es la forma más común, empleamos equipos llamados aceleradores lineales y es un tratamiento ambulatorio llevado a cabo en nuestro espacio de la Unidad de Radioterapia. No es invasivo, no duele, no se cae el cabello y permite continuar con las actividades diarias después de cada sesión, sin temor de emitir radiactividad.

Diseñamos tu tratamiento a través de la simulación y planeación

Previo a la primera sesión acudes a una cita para diseñar e individualizar tu tratamiento a través de la simulación y planeación. El objetivo de la simulación es determinar en un equipo de tomografía (TAC simulador) que será lo óptimo para las sesiones de tu curso terapéutico. En esta primera sesión podemos obtener imágenes de tomografía computada que proporcionan información detallada de la localización, el volumen, estructuras que rodean al tumor, etc. Todos estos datos se envían vía red al planificador de tratamiento cuyo software o programa de planeación reconstruye un modelo computacional de tu lesión o lesiones. Sobre este modelo virtual los físicos médicos y dosimetristas delimitan los volúmenes blancos y los órganos de riesgo (tejidos sanos circundantes), calculan las dosis precisas y las direcciones de los haces de radiación que se apuntarán al tumor, y junto con tu radio-oncólogo, definen el plan de tratamiento específico que será enviado al acelerador lineal sin capacidad de modificaciones y con control detallado.

Duración de las sesiones

Las sesiones duran aproximadamente 30 minutos y los tiempos de disparo son de uno a dos minutos. Tu radio-oncólogo te hará saber el número de sesiones requeridas para lograr el objetivo deseado de tu tratamiento.

Al terminar tu tratamiento

La atención del paciente en radioterapia no termina con la última sesión, cuando se ha recibido la dosis completa, sino que se continúa con consultas periódicas durante las cuales se detectan tempranamente y tratan los posibles efectos secundarios, que tienen una ventana de entre cuatro y seis semanas. Luego entra el seguimiento de evaluación de respuesta. Los tiempos esperados de respuesta varían según el tipo de cáncer, entre dos a seis meses.

tradiografía de tumor en el pulmón.

Planeación virtual de tumor en pulmón. Físicos médicos y dosimetristas han delimitado los volúmenes blancos y los órganos de riesgo (tejidos sanos circundantes) y calculado la distribución de dosis precisas.

radiografia de tumor en el higado.

Planeación virtual de tumor en el hígado. Físicos médicos y dosimetristas han delimitado los volúmenes blancos y los órganos de riesgo (tejidos sanos circundantes) y calculado la distribución de dosis precisas, así como, las direcciones de los haces de radiación que se apuntarán al tumor.

Radioterapia Adaptativa con Inteligencia Artificial: Tratamiento Preciso en Tiempo Real

Radioterapia para Tratamiento de Cáncer

Con el sistema Ethos, tu tratamiento se adapta en cuestión de minutos gracias al uso de inteligencia artificial, lo que permite ofrecer una radioterapia más precisa, segura y totalmente personalizada en cada sesión. Al ajustar el tratamiento en tiempo real, se mejora la seguridad, se reducen los riesgos y se protege mejor el tejido sano. Además, al optimizar cada paso del proceso, se ahorra tiempo y recursos tanto para ti como para el equipo médi

¿Cómo funciona?

  • Imágenes avanzadas (CT/MRI/PET/CT): Se obtiene una imagen 3D detallada del cuerpo del paciente.
  • Análisis con IA: La inteligencia artificial identifica cualquier cambio en el tumor o tejidos cercanos con supervisión del médico radio-oncólogo y el equipo de física médica.
  • Plan adaptado: El sistema ajusta el tratamiento para dirigir la radiación exactamente donde se necesita, con referencia al plan inicial y en menos de 15 minutos.
  • Tratamiento personalizado: Cada sesión se adapta a tu cuerpo y la relación de la lesión a tratar y órganos sanos vecinos, día a día.

En el Centro de Cáncer del Saludora, nuestro compromiso es brindarte un tratamiento de la más alta calidad, adaptado a tus necesidades reales. Gracias a la tecnología Ethos, cada sesión es más precisa, lo que mejora la eficacia del tratamiento y reduce los efectos secundarios al proteger mejor los tejidos sanos.

Tipos de radioterapia

Radiografía de braquiterapia.

Braquiterapia

A diferencia de los otros tipos de radioterapia, la braquiterapia es una forma de radiación interna, generalmente utilizada para lesiones reducidas. Se coloca material radioactivo en la zona del tumor o en donde se extirpó un tumor para esterilizar el área. Dependiendo de la dosis, la ubicación en el cuerpo, el tipo de cáncer, entre otras cosas, la fuente de radiación puede permanecer unos minutos, varios días o indefinidamente. Puesto que el cuerpo emite radiación por algún tiempo, se le indicarán medidas de seguridad a seguir. En nuestro centro contamos con braquiterapia de alta tasa Iridio 192 ambulatorio y técnica 3D con menor morbilidad.

Braquiterapia

A diferencia de los otros tipos de radioterapia, la braquiterapia es una forma de radiación interna, generalmente utilizada para lesiones reducidas. Se coloca material radioactivo en la zona del tumor o en donde se extirpó un tumor para esterilizar el área. Dependiendo de la dosis, la ubicación en el cuerpo, el tipo de cáncer, entre otras cosas, la fuente de radiación puede permanecer unos minutos, varios días o indefinidamente. Puesto que el cuerpo emite radiación por algún tiempo, se le indicarán medidas de seguridad a seguir. En nuestro centro contamos con braquiterapia de alta tasa Iridio 192 ambulatorio y técnica 3D con menor morbilidad.

Radiografía de braquiterapia.

Radiocirugía

Es una cirugía virtual, un procedimiento no-invasivo que no requiere de anestesia en el cual el tejido tumoral es destruido o eliminado por medio de la radiación. Se administran altas dosis con mayor rapidez, acortando el tiempo de la radiación y con precisión submilimétrica, reduciendo la exposición de órganos sanos. Requiere de menos sesiones (de 1 a 8 sesiones) de tratamiento que los otros tipos de radioterapia.

Radiocirugía intracraneal, conocida por sus siglas en inglés SRS o Stereotactic radiosurgery, y la Radiocirugía corporal conocida por sus siglas en inglés SBRT o stereotactic body radiotherapy.

Tenemos experiencia en el tratamiento de oligometastasis (enfermedad metastásica pequeña en número y tamaño), en la cual el tratamiento muy selectivo y preciso con radiocirugía ha demostrado beneficio, además de poderse tratar varias lesiones a la vez.

Radiocirugía intracraneal

Radiocirugía

Es una cirugía virtual, un procedimiento no-invasivo que no requiere de anestesia en el cual el tejido tumoral es destruido o eliminado por medio de la radiación. Se administran altas dosis con mayor rapidez, acortando el tiempo de la radiación y con precisión submilimétrica, reduciendo la exposición de órganos sanos. Requiere de menos sesiones (de 1 a 8 sesiones) de tratamiento que los otros tipos de radioterapia.

Radiocirugía intracraneal, conocida por sus siglas en inglés SRS o Stereotactic radiosurgery, y la Radiocirugía corporal conocida por sus siglas en inglés SBRT o stereotactic body radiotherapy.

Tenemos experiencia en el tratamiento de oligometastasis (enfermedad metastásica pequeña en número y tamaño), en la cual el tratamiento muy selectivo y preciso con radiocirugía ha demostrado beneficio, además de poderse tratar varias lesiones a la vez.

Radiocirugía intracraneal
Radioterapia intraoperatoria

Radioterapia intraoperatoria

Somos el primer centro médico privado que cuenta con INTRABEAM, un equipo portátil que se utiliza durante la cirugía. En la terapia conservadora de mama, inmediatamente después de extirpado el tumor, se coloca una esfera en la cavidad quirúrgica. Una sola dosis durante aproximadamente 30 minutos equivale al tratamiento de radioterapia postoperatoria externa convencional de seis semanas.

Radioterapia intraoperatoria

Somos el primer centro médico privado que cuenta con INTRABEAM, un equipo portátil que se utiliza durante la cirugía. En la terapia conservadora de mama, inmediatamente después de extirpado el tumor, se coloca una esfera en la cavidad quirúrgica. Una sola dosis durante aproximadamente 30 minutos equivale al tratamiento de radioterapia postoperatoria externa convencional de seis semanas.

Radioterapia intraoperatoria

Radioterapia pediátrica

Somos pioneros en tratamientos de Radioterapia Pediátrica de alta calidad y precisión para conseguir éxito en el control de la enfermedad y limitar los posibles efectos secundarios que se pudieran presentar a largo plazo, con SBRTy braquiterapia.

Radioterapia no oncológica

Ofrecemos radioterapia para padecimientos no oncológicos en los cuales está indicada como técnica curativa: malformaciones arteriovenosas, adenoma de hipófisis, schwannoma, queloides.

Radioterapia de intensidad modulada (IMRT)

Radioterapia de alta precisión que busca controlar o modular la intensidad y dirección de los haces pequeños de radiación para que se adapten con gran precisión a la forma del tumor, entregando la mayor dosis de radiación al objetivo tumoral, minimizando la exposición de órganos y tejidos sanos circundantes.

Irradiación corporal total

La TBI (Total Body Irradiation) consiste en irradiar la totalidad del cuerpo del paciente en forma homogénea, siendo parte del proceso de acondicionamiento para el trasplante de médula ósea y el tratamiento de algunas enfermedades hematológicas como leucemia, linfoma o mieloma múltiple.

Somos el primer centro en México en utilizar VMAT para este procedimiento con más de 30 casos en los que se observó menor toxicidad aguda durante el procedimiento.

VMAT/Rapid Arc

Es una técnica avanzada de IMRT, en la cual el aparato rota alrededor del paciente un número determinado de veces. De esta forma, es posible tratar el tumor desde diferentes ángulos, con alta precisión en la dosis, acortando el tiempo de tratamiento.

Radioterapia conformal tridimensional

Durante la radioterapia conformal tridimensional, los haces envían una dosis fija y se adaptan a la forma del tumor.

Radioterapia hipofraccionada

Se administran dosis más grandes en menos sesiones que en la radioterapia estándar (5 vs 25 sesiones).

Segunda opinión oncológica

Segunda opinión oncológica

En nuestro Centro de Cáncer pueden solicitar una segunda opinión, nuestros expertos estudiarán su historial médico, los estudios que se hayan realizado previamente y los informes de anatomía patológica que le proporcionó su médico.

Nuestras Ubicaciones

En el Centro Médico Saludora estamos preparados para atenderte en cualquiera de nuestros campus las 24 horas / 7 días.

Campus Observatorio

Sur 136 No. 116, Col. Las Américas,
Álvaro Obregón, 01120, Cd. de México.

Tel. 55 5230 8000

Campus Santa Fe

Av. Carlos Graef Fernández 154, Col. Santa Fe,
Cuajimalpa, 05300, Cd. de México.

Tel. 55 1103 1600