Centro Médico Saludora > Padecimientos > Corazón dilatado

¿Qué es corazón dilatado?

14 de mayo 2025

Se conoce como corazón dilatado o cardiomegalia al agrandamiento del corazón, lo cual, más que un padecimiento en sí mismo, realmente es un síntoma de otras condiciones cardíacas.

El corazón dilatado puede identificarse con cualquier estudio de imagen, desde una radiografía hasta una tomografía computarizada, pero se requieren de múltiples pruebas para poder emitir un diagnóstico del padecimiento que esté provocando este síntoma, ya que puede ser una dilatación temporal o permanente.

Las causas del corazón dilatado son diversas, pero las más comunes son:

  • Anemia.
  • Afecciones tiroideas.
  • Hemocromatosis.
  • Amiloidosis cardiaca.
  • Derrame pericárdico.
  • Afecciones valvulares cardiacas.
  • Hipertensión arterial o pulmonar.
  • Cardiopatía congénita.
  • Secuela de un ataque cardiaco.
  • Cardiomiopatía.

Signos y síntomas Corazón dilatado

En ocasiones, el corazón dilatado no manifiesta sintomatología, pero, cuando lo hace, puede experimentarse:

  • Dificultad para respirar, sobre todo en posición horizontal.
  • Arritmias.
  • Edema abdominal y en las extremidades inferiores.
  • Falta de aire que, incluso, puede hacerte despertar.

Existen diversas complicaciones potenciales de un corazón dilatado, entre ellas:

  • Embolia pulmonar.
  • Insuficiencia cardíaca.
  • Regurgitación cardiaca.
  • Paro cardiaco.
  • Muerte súbita.

Diagnóstico Corazón dilatado

El diagnóstico del corazón dilatado o cardiomegalia usualmente comienza mediante una exploración física en la cual el cardiólogo puede detectar signos como ruidos cardíacos, soplos o la presencia de insuficiencia cardíaca.

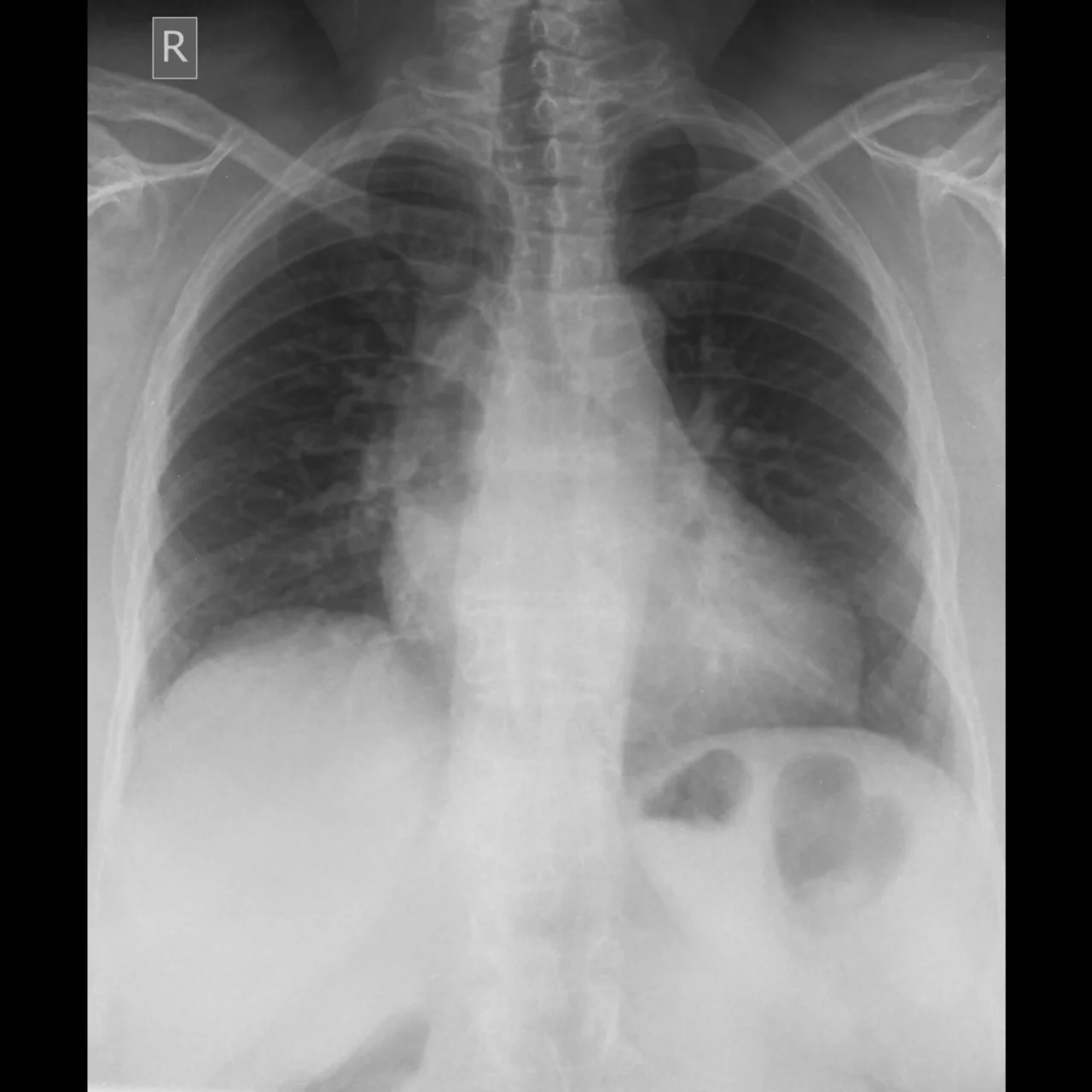
Pero para confirmar el agrandamiento del corazón, se requiere de estudios de imagen como la radiografía de tórax, que es uno de los métodos más utilizados de manera inicial, al permitir ver el tamaño y la forma de la silueta cardíaca.

Cuando se tiene la sospecha de una cardiomegalia, también suelen requerirse estudios complementarios como el ecocardiograma, que proporciona información detallada sobre las cavidades cardíacas, el grosor de las paredes, la función de bombeo, la presencia de valvulopatías y miocardiopatías.

Radiografía de un paciente que presenta corazón dilatado o cardiomegalia.

El electrocardiograma ayuda a detectar alteraciones en el ritmo o signos de hipertrofia ventricular; mientras que el análisis de sangre permite conocer la presencia de marcadores de daño miocárdico o, también, causas subyacentes como enfermedades tiroideas o infecciosas.

En algunos casos, de mayor complejidad, se puede requerir de una resonancia magnética cardíaca o de cateterismo para evaluar con mayor precisión la estructura y función del corazón.

El diagnóstico integral permite no solamente llegar al diagnóstico del corazón dilatado, también ayuda a establecer su causa, lo cual es esencial para dirigir un tratamiento adecuado y prevenir complicaciones como el desarrollo de arritmias o insuficiencia cardíaca.

Tratamiento Corazón dilatado

Debido a que las causas del corazón dilatado pueden ser muy variadas, así como la gravedad del agrandamiento cardíaco, el tratamiento dependerá de la causa subyacente.

De forma recurrente, el manejo farmacológico ayuda a reducir la carga de trabajo del corazón y mejorar su función, mediante el uso de inhibidores de la enzima convertidora de angiotensina (IECA), betabloqueadores o diuréticos; este tipo de medicamentos ayuda a controlar la presión arterial, disminuir la retención de líquidos y mejorar la capacidad de bombeo del corazón.

En caso de que la cardiomegalia esté asociada a arritmias, se pueden indicar antiarrítmicos o la implantación de un marcapasos o desfibrilador automático implantable.

Para las situaciones donde el tratamiento farmacológico no sea suficiente o de mayor gravedad, se pueden considerar otras opciones quirúrgicas como el reemplazo valvular o hasta el trasplante cardíaco.

Sin importar el nivel de gravedad, los cambios en el estilo de vida que incluya una dieta baja en sodio, ejercicio moderado supervisado, eliminar el consumo de alcohol y tabaco son fundamentales para mejorar el pronóstico a largo plazo.

En el área de Diagnóstico Cardiovascular del Centro Médico Saludora te podemos dar atención especializada ¡Contáctanos!

Fuentes:

¿Cómo podemos ayudarte?

    Ricardo Ostos

    Ricardo Ostos

    Content Creator

    Ricardo tiene la capacidad de transmitir información médica compleja de una manera accesible y amigable para que todos nuestros pacientes puedan comprenderla y beneficiarse de ella. Además, tiene un enfoque empático y sensible, ofreciendo información y consejos prácticos que realmente hacen la diferencia en la vida de las personas. #lavidanosune.

    Conoce más sobre Ricardo en LinkedIn

    La difusión del contenido del presente material es únicamente para fines informativos y no sustituye bajo ninguna circunstancia o condición a una consulta con el médico especialista, por lo que el Centro Médico Saludora no se hace responsable por el uso distinto que pueda darle a la misma. En caso de requerir mayor información relacionado con el tema, le sugerimos contacte directamente al médico especialista de su confianza.