Centro Médico Saludora > Procedimientos > Sala de hemodinamia

¿Qué es sala de hemodinamia?

22 de abril 2025

Índice

Contenido

Una sala de hemodinamia emplea equipos tecnológicos para evaluar la estructura y funcionamiento del corazón, lo que permite establecer el diagnóstico de enfermedades cardiovasculares, junto con el tratamiento más adecuado.

Algunos de los principales beneficios de estas salas son su precisión y su seguridad, ya que las técnicas son mínimamente invasivas e indoloras por el tipo de anestesia empleada.

Hemodinamia

La hemodinamia es una disciplina médica fundamental dentro de la cardiología intervencionista, que se centra en el estudio y tratamiento de los flujos sanguíneos del sistema cardiovascular. Mediante diversas técnicas y procedimientos, la hemodinamia permite evaluar el comportamiento de la sangre, la presión arterial y otros parámetros que son clave para llegar al diagnóstico y tratamiento de diversas enfermedades cardiovasculares.

El proceso de intervención hemodinámica se realiza principalmente en áreas especializadas conocidas como salas de hemodinamia, que cuentan con el equipo y los especialistas necesarios para garantizar la eficacia de las intervenciones.

Qué se hace en la sala de hemodinamia

Dentro de una sala de hemodinamia se realizan procedimientos diagnósticos y terapéuticos avanzados para tratar diversas afecciones cardiovasculares.

Uno de los procedimientos más frecuentes es el cateterismo cardíaco, el cual permite evaluar la función del corazón y de las arterias coronarias, a través de un catéter. Este procedimiento ayuda a identificar enfermedades como la insuficiencia coronaria o el infarto de miocardio; además ayuda a realizar pruebas para evaluar la función cardíaca en tiempo real.

Otro procedimiento que se realiza con frecuencia es la angioplastia, la cual consiste en insertar un balón a través del catéter para dilatar las arterias coronarias o periféricas estrechadas; posteriormente, se puede o no colocar un stent para mantener estas arterias abiertas y mejorar el flujo sanguíneo.

Otro procedimiento que se realiza con frecuencia es la angioplastia, la cual consiste en insertar un balón a través del catéter para dilatar las arterias coronarias o periféricas estrechadas; posteriormente, se puede o no colocar un stent para mantener estas arterias abiertas y mejorar el flujo sanguíneo.

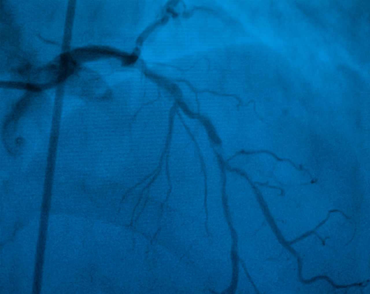
Más allá de la intervención terapéutica, las salas de hemodinamia también juegan un papel crucial en el diagnóstico y seguimiento de diversas patologías cardiovasculares, mediante técnicas especializadas como la angiografía.

Angiografía coronaria realizada en una sala de hemodinamia.

Cardiología intervencionista

Dentro de la cardiología, la cardiología intervencionista es la especialidad enfocada en el diagnóstico y tratamiento de enfermedades del corazón, a través de técnicas mínimamente invasivas.

Las salas de hemodinamia son el núcleo de la cardiología intervencionista, ya que en estos espacios se llevan a cabo los procedimientos que definen esta especialidad.

En el área de Cateterismo Cardíaco del Centro Médico Saludora te podemos dar atención especializada ¡Contáctanos!

Fuentes:

¿Cómo podemos ayudarte?

    Ricardo Ostos

    Ricardo Ostos

    Content Creator

    Ricardo tiene la capacidad de transmitir información médica compleja de una manera accesible y amigable para que todos nuestros pacientes puedan comprenderla y beneficiarse de ella. Además, tiene un enfoque empático y sensible, ofreciendo información y consejos prácticos que realmente hacen la diferencia en la vida de las personas. #lavidanosune.

    Conoce más sobre Ricardo en LinkedIn

    La difusión del contenido del presente material es únicamente para fines informativos y no sustituye bajo ninguna circunstancia o condición a una consulta con el médico especialista, por lo que el Centro Médico Saludora no se hace responsable por el uso distinto que pueda darle a la misma. En caso de requerir mayor información relacionado con el tema, le sugerimos contacte directamente al médico especialista de su confianza.